На сайте ведутся технические работы. Некоторые материалы могут быть не доступны. Приносим извинения за временные неудобства.
Алгоритм базовой диагностики нВМД
Материал подготовлен Зубковой Е.Ю., заведующей отделением диагностики СОКОБ им. Ерошевского, Самара
Материал основывается на данных, предоставленных Е. Ю. Зубковой, заведующей отделением диагностики, ГБУЗ СОКОБ им. Т. И. Ерошевского, и полученных им в результате врачебной практики.
Мнение «Рош» может отличаться от мнения автора.
Возрастная макулярная дегенерация (ВМД) – это хроническое прогрессирующее многофакторное заболевание, характеризующееся дегенеративным процессом в пигментном эпителии (ПЭ), мембране Бруха и хориокапиллярах центральной зоны глазного дна со вторичным поражением нейроэпителия (НЭ) и являющееся основной причиной потери центрального зрения среди людей старшей возрастной группы.
К типичным признакам ВМД относят:
- друзы;
- изменения в ПЭ сетчатки;
- географическую атрофию (ГА);
- хориоидальную неоваскуляризацию (ХНВ).
Классификация по Age-Related Eye Disease Study (AREDS)
Отсутствие ВМД (категория 1 AREDS)
- отсутствие изменений
- небольшое количество мелких друз (диаметр <63 микрон)
Ранняя стадия ВМД (категория 2 AREDS)
- множественные мелкие друзы,
- небольшое число друз среднего размера (диаметр от 63 до 124 микрон) или
- начальные изменения ПЭ сетчатки;
Промежуточная стадия ВМД (категория 3 AREDS)
- множество друз среднего размера,
- по крайней мере, одна большая друза (диаметр ≥ 125 микрон), или
- очаги географической атрофии (ГА), не затрагивающая центральной ямки;
Поздняя стадия ВМД (категория 4 AREDS)
Характеризуется одним или несколькими из следующих признаков (при отсутствии других причин):
- очаги географической атрофии (ГА), затрагивающие центральную зону глазного
- макулярная неоваскуляризация с различными проявлениями (отслойкой НЭ и/или ПЭ, отеком НЭ, геморрагиями, твердыми (липидными) экссудатами и другими, образованием рубцово-атрофических изменений
Диагностика ВМД. Первичное звено
Клинические задачи:
Выявление пациентов с признаками ВМД, решение вопросов о тактике дальнейшего обследования и лечения в зависимости от стадии заболевания.
Методы визуализации:
- Офтальмоскопия (от греч. ophtalmos –глаз и skopeo – смотрю, наблюдаю) –метод исследования внутренних оболочек глаза с помощью специальных инструментов (офтальмоскопа и специальных линз), который позволяет оценить сетчатку, диск зрительного нерва, сосуды глазного дна и служит основным, современным способом диагностики патологии глазного дна.
Для выявления ранних признаков ВМД необходима офтальмоскопия в условиях мидриаза

- Биомикроскопия – метод исследования глазного дна с использованием щелевой лампы и высокодиоптрийных асферических линз (+60,0, +78,0, +90,0 дптр) или контактных линз т(рехзеркальной линзы Гольдмана, панфундус-линз).
Возможность получить увеличенное стереоскопическое изображение глазного дна. Оптимальный метод офтальмоскопии для диагностики ВМД

Алгоритм ведения пациентов с ВМД1,2,3

Мелкие (твердые) друзы

- Размер: < 63 мкм (соответствует ½ диаметра вены у края ДЗН).
- Форма: округлая правильная.
- Границы: четкие.
- Цвет: желтоватый.
- Локализация: макула, периферия, единичные, множественные.
Nagahisa Yoshimura, Masanori Hangai OCT Atlas ISBN-13 978-3-642-38624-4 ISBN 978-3-642-38625-1 (eBook) DOI 10.1007/978-3-642-38625-1
Springer Medizin © Springer-Verlag Berlin Heidelberg 2014 p.315
Друзы среднего размера

- Размер: от 63 до 124 микрон (не более диаметра вены у края ДЗН).
- Форма: округлая неправильная.
- Границы: нечеткие.
- Цвет: желтоватый, бледный.
- Локализация: макула.
Мультицветное изображение глазного дна правого глаза. Multicolor HE Spectralis. Собственные данные
Крупные друзы

- Размер: от 63 до 124 микрон (не более диаметра вены у края ДЗН)
- Форма: округлая неправильная
- Границы: нечеткие
- Цвет: желтоватый, бледный
- Локализация: макула, задний полюс глаза
Цветная фотография правого и левого глаз. Собственные данные
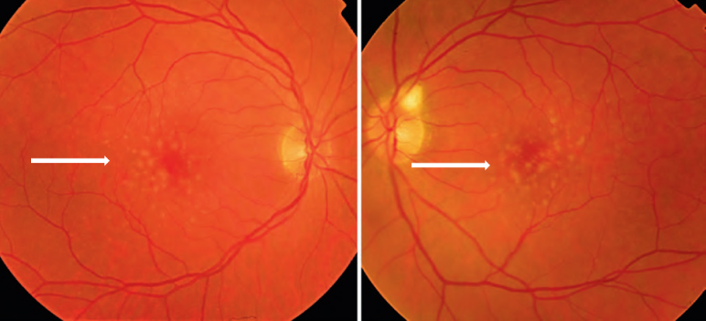
Нарушения пигментного эпителия

Цветная фотография глазного дна правого глаза
Начальные изменения пигментного эпителия сетчатки (ПЭ):
Участки диспигментации, более светлые по сравнению с окружающей сетчаткой очаги с нечеткими контурами, неправильной формы(стрелка)
Цветная фотография глазного дна левого глаза
Начальные изменения пигментного эпителия сетчатки (ПЭ):
Участки диспигментации, более светлые по сравнению с окружающей сетчаткой очаги с нечеткими контурами, неправильной формы(стрелка)
Личные данные Е.Ю. Зубковой
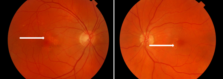
Очаги географической атрофии, не затрагивающие фовеальную ямку

Участки депигментации — светлые очаги с четкими контурами (белые стрелки), на фоне которых видны крупные сосуды хориоидеи (синие стрелки), не затрагивающие фовеальную зону.
Цветная фотография глазного дна левого глаза. Собственные данные
Очаги географической атрофии, затрагивающие фовеальную ямку

Участки депигментации – светлые очаги с четкими контурами (белая стрелка), на фоне которых видны крупные сосуды хориоидеи (синие стрелки), захватывающие фовеальную ямку.
Цветная фотография глазного дна правого глаза. Собственные данные
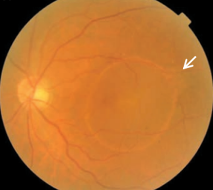
Отслойка пигментного эпителия

Цветная фотография глазного дна левого глаза: в макуле выявляется большая ПЭ, примерно в 4 раза превышающая диаметр диска зрительного нерва. Видна выемка по верхне-височному краю отслойки (белая стрелка). Вероятное место локализации неоваскулярной мембраны.
Nagahisa Yoshimura, Masanori Hangai OCT Atlas ISBN-13 978-3-642-38624-4 ISBN 978-3-642-38625-1 (eBook) DOI 10.1007/978-3-642-38625-1
Springer Medizin © Springer-Verlag Berlin Heidelberg 2014 p.31
Макулярная неоваскуляризация: нейросенсорная отслойка, кровоизлияния

Цветная фотография глазного дна левого глаза:
нейросенсорная отслойка (синяя стрелка), кровоизлияние(черная стрелка), многочисленные крупные друзы (белые стрелки)

Цветная фотография глазного дна левого глаза: нейросенсорная отслойка (синяя стрелка), кровоизлияние (черная стрелка).
Nagahisa Yoshimura, Masanori Hangai OCT Atlas ISBN-13 978-3-642-38624-4 ISBN 978-3-642-38625-1 (eBook) DOI 10.1007/978-3-642-38625-1
Springer Medizin © Springer-Verlag Berlin Heidelberg 2014 p.31
Макулярная неоваскуляризация: нейросенсорная отслойка, отек, кровоизлияния, крупные друзы, отложение твердых экссудатов

- Цветная фотография глазного дна правого глаза: в макуле видно побеление сетчатки вследствие отека (синяя стрелка).
- Твердые экссудаты видны над нижне-височной аркадой по краю зоны отека сетчатки (желтая стрелка).
- Кровоизлияние (черная стрелка).
Nagahisa Yoshimura, Masanori Hangai OCT Atlas ISBN-13 978-3-642-38624-4 ISBN 978-3-642-38625-1 (eBook) DOI 10.1007/978-3-642-38625-1
Springer Medizin © Springer-Verlag Berlin Heidelberg 2014 p.31
Рубцовая стадия ВМД. Дисковидный рубец

Цветная фотография глазного дна левого глаза:
дисковидный рубец
Kolar, P., 2013, ‘Classification and Clinical Features of AMD’, in G. L. Giudice (ed.), Age-Related Macular Degeneration — Etiology, Diagnosis and Management — A Glance at the Future, IntechOpen, London. 10.5772/53762.

Цветная фотография глазного дна левого глаза:
дисковидный рубец
Color Atlas &Synopsis of Clinical Ophthalmology Wills Eye Institute: Retina
Диагностика ВМД. Специализированная офтальмологическая помощь
Клинические задачи:
- Подтверждение диагноза ВМД.
- Дифференциальный диагноз.
- Определение стадии ВМД.
- Решение вопросов о дальнейшей тактике лечения и периодичности наблюдения.
- Определение зрительного прогноза в зависимости от выявленной стадии заболевания.
- Выявление признаков макулярной неоваскуляризации (МНВ) и признаков экссудативной активности МНВ.
- Определение показаний к антиангиогенной терапии.
- Оценка эффективности лечения- изменение активности МНВ в процессе лечения.
- Выбор режима антиангиогенной терапии и выбор антиангиогенного препарата на основании анализа клинических данных.
- Выявление признаков макулярной атрофии, оценка зрительного прогноза.
Методы визуализации:
Возможности и отличия от амбулаторного этапа.
- Биомикроскопия с использованием высокодиоптрийных линз;
- Фоторегистрация;
- Фундус аутофлюоресценция;
- ОКТ, ОКТА;
- Ангиография с красителями (Флюоресценин, Индоциан зеленый).
Биомикроскопия – метод исследования глазного дна с использованием щелевой лампы и высокодиоптрийных асферических линз (+60,0, +78,0, +90,0 дптр) или контактных линз т(рехзеркальной линзы Гольдмана, панфундус-линз) Возможность получить увеличенное стереоскопическое изображение глазного дна. Оптимальный метод офтальмоскопии для диагностики ВМД.
Фоторегистрация глазного дна – получение изображения сетчатки глаза при помощи портативной или стационарной цифровой ретинальной камеры. Фундус камеры позволяют сделать моментальный цифровой снимок глазного дна или серию снимков. Фотографии глазного дна могут использоваться для скрининга заболеваний сетчатки и зрительного нерва, анализа динамики заболеваний, оценки эффективности лечения в том числе и с помощью систем искусственного интеллекта. Снимки глазного дна хранятся в базе данных прибора, могут прикрепляться к индивидуальному файлу пациента в медицинских информационных системах, что дает возможность оценить и сравнить состояние сетчатки на всех этапах наблюдения и лечения.
Фундус аутолюоресценция (ФАФ) – неинвазивный метод исследования, основанный на способности флюорофоров (липофусцина) под возбуждением излучения лазера испускать свет определенной длины волны.
Метод используется в рамках мультимодального подхода в диагностике заболеваний сетчатки и зрительного нерва. Фундус аутофлюоресценция позволяет выявить изменения, которые не визуализируются при офтальмоскопии и косвенно лценить функциональное состояние пигментного эпителия сетчатки.
Оптическая когерентная томография (ОКТ) — неинвазивный и высокоточный метод исследования, для получения изображения поперечного среза исследуемых тканей in vivo. Обеспечивает возможность визуализация структуры сетчатки и хориоидеи на микроскопическом уровне (1-15 микрон).
В настоящее время ОКТ является «золотым стандартом» диагностики и мониторинга ВМД. Структурная ОСТ позволяет выявить симптомы ВМД, косвенные признаки неоваскулярных мембран и томографические признаки их экссудативной активности.
«Золотым стандартом» диагностики неоваскулярной формы ВМД остается ангиография с красителями (флюоресцентная ангиография, агиография с индоцианин-зеленым).
Непосредственная визуализация макулярных неоваскулярных мембран возможна с помощью стремительно развивающегося бесконтактного, неинвазивного метода оптической когерентной томографии-ангиографии.
Оптическая когерентная томография ангиография (ОКТА) — Метод основывается на выявлении движущихся форменных элементов крови в сосудах при сканировании глазного дна с последующим формированием карты сосудистого русла.
С помощью ОСТА возможна визуализация как общей картина сосудистого русла, так и изолированное изображение сосудистых сплетений, новообразованных сосудов и аномальных сосудистых структур.
На современном этапе развития офтальмологии необходимо использовать мультимодальный подход в диагностике и мониторинге ВМД для оптимальной оценки стадии заболевания, выявления его прогрессирования, своевременного направления на антиангиогенную терапию, а так же для оценки эффективности лечения.
Список литературы
- (Age-Related Eye Disease Study Research Group A randomized, placebo-controlled, clinical trial of high-dose supplementation with vitamins C and E, beta carotene, and zinc for age-related macular degeneration and vision loss: AREDS report no. 8 / Archives of ophthalmology. – 2001. – Vol. 119. № 10. – P. 1417. )
- Кански Д.Д. Клиническая офтальмология. – М.: Логосфера, 2006. – 743 с.
- Шульпина Н.Б. Биомикроскопия глаза. – М.: Медицина, 1966. – 295 с. http://glazoskar.ru/patient/diagnostika/oftalmoskopiya/
