Вы являетесь медицинским работником? Для полного доступа к медицинской информации войдите или зарегистрируйтесь.
Для пациентов с солидными опухолями
Пусть тестирование будет вашей путеводной звездой
Перестройки генов NTRK и ROS1 в клетках опухоли можно обнаружить с достаточной точностью только при проведении чувствительных и специфичных исследований1–3
- Существует множество молекулярных исследований, предназначенных для обнаружения перестроек генов, однако некоторые из этих исследований имеют более высокую специфичность, чем другие1,2,4–11.
- Высокопроизводительное секвенирование (ВПС, англ. NGS) отличается высокой чувствительностью, точностью и производительностью, что необходимо для исследования всех слияний генов9–16.
Доступные технологии обнаружения слияния генов
| Возможность обнаружения различных перестроек | Обнаружение перестроек всех трех генов NTRK и гена ROS14,9 NGS представляет собой чувствительный и специфичный метод, позволяющий обнаружить все возможные варианты слияний генов NTRK, а также выявить другие биомаркеры в рамках одного комплексного молекулярного исследования. При использовании метода NGS на основе РНК можно определить партнеров слияния гена ROS1, а также местоположение перестроек гена4,5,9. |
| Надежность | Надежность исследования зависит от его типа17 Разные панели NGS оценивают разные участки последовательности ДНК или РНК, а глубина покрытия зависит от типа исследования. Требования к содержанию опухолевых клеток также могут не совпадать в случае различных исследований17. |
| Преимущества | Возможность обнаружения новых генов-партнеров и оценки нескольких значимых биомаркеров18 В зависимости от варианта используемого метода, NGS может выявлять множество известных генов-партнеров, так и новые варианты перестроек, используя небольшой объем опухолевой ткани. При секвенировании РНК рассматриваются кодирующие последовательности, а не интроны, данный метод подходит для обнаружения слияния генов5,18. |
| Недостатки | Может пропустить некоторые перестройки генов NTRK/ROS118 Ограничением метода NGS на основе ДНК является размер интронов. Метод NGS на основе РНК подходит для обнаружения слияния генов, однако его применение может быть ограничено качеством РНК5,18. |
| Пример | При заказе исследования методом NGS запросите провести проверку слияний всех трех генов NTRK: NTRK1, NTRK2 и NTRK319. Результаты исследования помогут установить наличие слияний генов NTRK в образцах солидных опухолей. Содержание отчета, составляемого для определенного пациента, зависит от метода исследования и лаборатории. |

| Возможность обнаружения различных перестроек | Возможность обнаружения белков, кодируемых генами NTRK и ROS1, сопряженная с необходимостью подтверждения перестройки с помощью молекулярно-генетических методов2,5,9,13 Данное исследование может проводиться только в качестве скринингового. Требуется подтверждение наличия слияний генов другим методом. Антитела к pan-TRK позволяют оценить экспрессию белка, кодируемого любым из трех генов NTRK, но не позволяют различить белки дикого типа и химерные белки2,5,13. |
| Надежность | Обнаружение белков TRK и ROS1 с высокой специфичностью и чувствительностью2,5 По имеющимся данным, чувствительность антител к pan-TRK составляет 95–100%, а их специфичность доходит до 100% в случае белков TRK. Сообщалось, что антитела к ROS1 обладают 100-процентной чувствительностью, а их специфичность находится в диапазоне от 70 до 100 % — в зависимости от порога, используемого для определения положительного результата2,9,10. |
| Преимущества | Низкая стоимость и доступность2,9,18 При использовании антител к pan-TRK можно обнаружить белки TRK A, B и C (время получения результатов составляет 1–2 дня)18. |
| Недостатки | Невозможность достоверной дифференциации экспрессии нормальных белков и белков, образовавшихся в результате перестроек генов9,18 ИГХ позволяет обнаруживать как белки дикого типа, так и химерные белки TRK и ROS1, из-за чего результаты могут оказаться ложноположительными. Кроме того, существует риск получения ложноотрицательных результатов в случае слияний с участием TRKC. Таким образом, для подтверждения наличия перестроек генов требуется задействовать молекулярно-генетические методы9,18. |
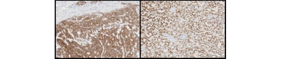
| Пример | Исследование с применением антител к pan-TRK: окрашивание при перестройке EML4-NTRK1 при колоректальном раке (слева) и ETV6-NTRK3 при секреторной карциноме (справа) Наличие перестройки генов определено по результатам секвенирования нового поколения20. |

| Возможность обнаружения различных перестроек | Возможность обнаружения перестроек генов NTRK и ROS1 зависит от используемых зондов18,19 Для диагностики перестроек каждого гена NTRK требуются отдельные зонды21. Для обнаружения перестройки гена ROS1 используются двухцветные ‘break-apart’ зонды, которые помечают 3’-концевой (центромерный) участок гена флуорохромом одного цвета, а 5’-концевой (теломерный) участок — флуорохромом другого цвета. Перестройки выявляются по паттерну экспрессии флуорохромов9,21. |
| Надежность | Возможны ложноположительные или ложноотрицательные результаты9,18 Существует риск получения ложноположительных результатов из-за комплексных хромосомных транслокаций, а также вероятность обнаружения перестроек, не приводящих к образованию функциональных химерных белков9,18. Возможен пропуск вариативных или комплексных перестроек1,2,9,18. В некоторых случаях доля ложноотрицательных результатов может превышать 30%18. |
| Преимущества | Метод FISH с применением ‘break-apart’ зондов — это золотой стандарт обнаружения перестроек гена ROS110,21 Данный метод позволяет визуализировать целевой объект в клетке, а также исследовать несколько мишеней в одном образце при помощи нескольких флуорофоров10,18. Использование ‘break-apart’ зондов обеспечивает обнаружение слияний с неизвестными партнерами18. |
| Недостатки | Потенциальная необходимость проведения нескольких исследований методом традиционной FISH для обнаружения слияний генов NTRK В случае традиционной FISH должна быть известна таргетная последовательность, а для генов NTRK1, NTRK2 и NTRK3 необходимо проводить три отдельных исследования18. Кроме того, в зависимости от типа транслокации существует риск получения ложноположительных или ложноотрицательных результатов9,18. |
| Возможность обнаружения различных перестроек | Необходимость использования нескольких наборов праймеров для обнаружения слияний генов18,22 Поскольку расположение перестроек гена на момент проведения исследования неизвестно, необходимо использовать несколько наборов праймеров — по одному на каждый вариант слияния18,21,22. |
| Надежность | Надежный в случае известных слияний генов, необходимость подтверждения результата исследования наличия слияний гена ROS1 с помощью метода FISH10 Для каждого варианта слияния требуется использовать особый набор праймеров. Таким образом, в случае метода ПЦР неизвестные или непроверявшиеся варианты могут быть пропущены7,9,21,22. Экспрессия гена ROS1 выявляется в нормальной ткани легких, поэтому результата ПЦР-исследования, не подтвержденного результатом исследования методом FISH, недостаточно для того, чтобы диагностировать ROS1-положительный рак легкого11,22. |
| Преимущества | Низкая стоимость одного исследования, отличающегося высокой чувствительностью и специфичностью18 |
| Недостатки | Возможность обнаружения только известных перестроек генов18 Таргетные последовательности должны быть известны. Выявлять новых партнеров слияния при применении только этого метода невозможно. Проведение комплексного мультиплексного исследования методом полимеразной цепной реакции с обратной транскрипцией (ОТ-ПЦР) может быть сопряжено с трудностями из-за потенциального наличия множества 5’-концевых партнеров слияния10,18. |
Проведение надлежащих молекулярных исследований потенциально способствует обнаружению слияний генов4,5,18
Патоморфолог может посоветовать, какой метод исследования будет оптимальным в каждом конкретном случае
Диагностика NTRK:
Программа поддержки диагностики транслокаций генов NTRK для взрослых пациентов с солидными опухолями*
Телефон горячей линии: 8 (800) 100-68-53
FISH — флуоресцентная гибридизация ДНК in situ; ИГХ — иммуногистохимическое исследование; NGS — секвенирование нового поколения; ПЦР — полимеразная цепная реакция; ОТ-ПЦР — полимеразная цепная реакция с обратной транскрипцией
*Технический оператор АО «Астон Консалтинг», при поддержке АО «Рош Москва». Есть исключения, подробные детали уточнять на горячей линии проекта. Данная информация предназначена только для медицинских работников и не должна передаваться пациентам. Данная программа не имеет целью способствовать продвижению какой-либо продукции/услуг компании «Рош», носит информационный характер и направлена на повышение доступности молекулярно-генетических исследований для пациентов. Участие в программе само по себе не является основанием для принятия каких-либо решений о применении какого-либо препарата.
Список литературы
- Su D, et al. J Exp Clin Cancer Res 2017;36:1–12.
- Hechtman JF, et al. Am J Surg Pathol 2016;41:1547–1551.
- Kumar-Sinha C, et al. Genome Med 2015;7:1–18.
- Vaishnavi A, et al. Cancer Discov 2015;5:25–34.
- Murphy DA, et al. Appl Immunohistochem Mol Morphol 2017;25:513–523.
- Stack EC, et al. Methods 2014;70:46–58.
- Knezevich SR, et al. Nat Genet 1998;18:184–187.
- Naidoo J, Drilon A. Am J Hematol Oncol 2014;10:4–11.
- International Association for the Study of Lung Cancer. IASLC Atlas of ALK and ROS1 Testing in Lung Cancer. URL: https://www.iaslc.org/research-education/publications-resources-guidelines/iaslc-atlas-alk-and-ros1-testing-lung-cancer (по состоянию на ноябрь 2020 г.).
- Shan L, et al. PLoS One 2015;10:e0120422.
- Bubendorf L, et al. Virchows Arch 2016;469:489–503.
- Cao B, et al. Onco Targets Ther 2016;31:131–138.
- Национальная всеобщая онкологическая сеть (NCCC). Клинические рекомендации NCCN для онкологов (NCCN Guidelines) по немелкоклеточному раку легкого. Версия 6.2020, 2020 г. URL: https://www.nccn.org/professionals/physician_gls/pdf/nscl.pdf (по состоянию на ноябрь 2020 г.).
- Zheng Z, et al. Nat Med 2014;20:1479–1484.
- Drilon A, et al. Clin Cancer Res 2015;21:3631–3639.
- Grada A, Weinbrecht K. J Invest Dermatol 2013;133:e11.
- Horak P, et al. ESMO Open 2016;1:e000094.
- Penault-Llorca F, et al. J Clin Pathol 2019;72:460–467.
- Kummar S, Lassen UN. Target Oncol 2018;13:545–556.
- Листок-вкладыш анализа VENTANA с применением антител к pan-TRK (EPR17341), 1017533EN, ред. A.
- Rossi G, et al. Lung Cancer (Auckl) 2017;8:45–55.
- Ali G, et al. Arch Pathol Lab Med 2018;142:480–489.
