Вы являетесь медицинским работником? Для полного доступа к медицинской информации войдите или зарегистрируйтесь.
Основные клинические признаки ЗСОНМ
Профессор Бахтиярова К.З. об особенностях диагностики и проявлениях ЗСОНМ на МРТ головного и спинного мозга
Бахтиярова Клара Закиевна
д.м.н., профессор БГМУ, врач высшей квалификационной категории, г. Уфа.
Большая часть пациентов с диагностированным ЗСОНМ имеют рецидивирующее течение, напоминающее ремиттирующий РС. Эпизоды обострения у пациентов с ЗСОНМ по степени тяжести и вероятности инвалидизации превосходят те, что наблюдаются при РС. Основными клиническими признаками являются неврит зрительного нерва и острый миелит. Также они могут включать:
- острый стволовой синдром;
- синдром поражения area postrema;
- симптоматический церебральный синдром с характерными для ЗСОНМ поражениями головного мозга;
- симптоматическую нарколепсию или острый диэнцефальный синдром.
Важно: если пациент AQP4-IgG-серопозитивный, то для постановки диагноза ЗСОНМ достаточно наличия одного основного клинического признака из шести.1
1. Оптический неврит

Заболевание характеризуется воспалением зрительного нерва и может привести к внезапной потере зрения. Оно может продолжаться несколько часов или дней. Симптомы:
- внезапная потеря зрения (частичная или полная)
- снижение остроты зрения;
- боль в глазе/глазах при их движении (симптом ощущают до 90% процентов);
- ухудшение восприятия цветов
- ухудшение ночного зрения;
- ретинальная светобоязнь.
Проявления оптического неврита на МРТ при ЗСОНМ отличаются от таковых при РС: поражения продольно распространённые, односторонние и двусторонние с включением задних областей, а также распространяющиеся на хиазму и рядом расположенный гипоталамус.2,3
МРТ в режиме T1 с гадолинием (аксиальный срез) показывает накопление контрастного вещества в хиазме (белые стрелки)1
2. Острый миелит

Острый миелит представляет собой воспалительное заболевание, которое затрагивает участки спинного мозга. Поперечные миелиты (ПМ) могут спровоцировать разные клинические проявления, все зависит от того, какой именно участок спинного мозга поражен. На тяжесть симптомов ПМ влияют два фактора: распространенность очага воспаления и степень повреждения спинного мозга.
Если заболевание будет прогрессировать несколько дней, то оно приведет к полной поперечной сенсомоторной миелопатии, для которой характерны:
- пара — или тетраплегия;
- потеря чувствительности на участках, расположенных ниже очага поражения;
- задержка/недержание мочи или кала (дисфункция органов малого таза).
Заболевания спектра оптиконевромиелита приводят к острому и продольно-распространенному поперечному миелиту:
- Острый ПМ. Это воспалительное заболевание, которое захватывает большую часть поперечника спинного мозга и приводит к блокировке передачи нервных импульсов вверх и вниз. Острый ПМ характеризуется острым воспалением серого и белого вещества в одном или нескольких сегментах спинного мозга.
- Продольно-распространенный ПМ (ПРПМ). Он охватывает более 3 смежных позвоночных сегментов и преимущественно включает центральную часть спинного мозга (серое вещество).
Острый миелит при ЗСОНМ МРТ в режиме Т2. Типичный очаг ПРПМ, захватывающий большую часть грудного отдела спинного мозга (белые стрелки)1
Нарушение работы мочевого пузыря и кишечника
Миелит, вызванный ЗСОНМ, провоцирует дисфункцию органов малого таза. Симптомы при нарушении функции мочевого пузыря:
- подтекание мочи;
- императивные позывы к мочеиспусканию;
- вялое и прерывистое мочеиспускание;
- недержание мочи;
- частая потребность ночью просыпаться для мочеиспускания (никтурия).
Симптомы при нарушении функции кишечника:
- недержание кала;
- запор;
- метеоризм.
Исследование, в котором принимало участие 60 человек с диагностированным поперечным миелитом, ассоциированным с AQP4-IgG-серопозитивным ЗСОНМ, показало, что 87% (52 пациента) страдали дисфункцией мочевого пузыря и кишечника. Нарушения и осложнения со стороны внутренних органов оказали негативное влияние на качество жизни и потребовали коррекции образа жизни. При этом доля пациентов с дисфункцией кишечника и мочевого пузыря еще больше увеличилась в период между первым и вторым обострениями.4
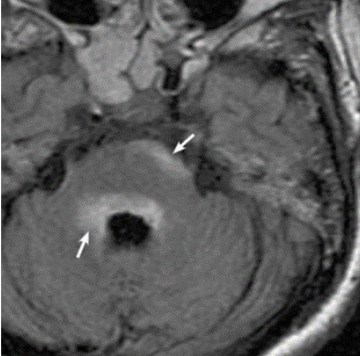
3. Синдром поражения area postrema

Синдром поражения area postrema (дословный перевод с латинского – самого заднего поля) сопровождается различными проявлениями, включая некупируемую икоту, тошноту и рвоту, которые могут продолжаться от нескольких дней до нескольких недель. Их частота довольно высокая и достигает 51%. Дело в том, что структура area postrema является центром рвотного рефлекса, приводит к повышению проницаемости гематоэнцефалического барьера в этой области.1
Синдром поражения area postrema, FLAIR-режим МРТ. Острое поражение продолговатого мозга, связанное с клиническим синдромом поражения area postrema (белая стрелка)1
4. Острый стволовой синдром

Острый стволовой синдром представляет собой повреждение ствола головного мозга. Состояние, вызванное ЗСОНМ, оказывает непосредственное влияние на жизненные функции. Симптомы: нарушения глазодвигательных нервов, моторная, сенсорная и мозжечковая дисфункции.
Перечисленная симптоматика может говорить и о других заболеваниях, поэтому острый стволовой синдром диагностируется после проведения магнитно-резонансной томографии. На снимках можно увидеть поражения в периэпендимальных отделах ствола мозга, включая мост.
Данный синдром встречается не так часто при ЗСОНМ, но, как и миелит, может привести к летальному исходу вследствие наличия в области ствола мозга многих жизненно важных центров. Чаще всего смерть наступает из-за респираторной и полиорганной недостаточности.1,5
Острый стволовой синдром при ЗСОНМ МРТ в режиме FLAIR в аксиальной плоскости демонстрирует периэпендимальные поражения ствола мозга, включая мост (белые стрелки)1
5. Острый диэнцефальный синдром

Диэнцефальные симптомы при оптиконевромиелите связаны с поражением таламуса, гипоталамуса или области третьего желудочка. Возникают следующие признаки:
- Нарколепсия – состояние, которое характеризуется хронической патологической дневной сонливостью. Часто оно проявляется в сочетании с эпизодами катаплексии (внезапной потери мышечного тонуса при ясном сознании).
- Гиперсомнолентность – состояние, при котором человек испытывает эпизоды сильной сонливости даже после хорошего 7-8 часового сна. В отличие от нарколепсии, при гиперсомнолентности сильная усталость и сонливость развивается постепенно, внезапные приступы отсутствуют.
- Расстройство пищевого поведения – анорексия с выраженной потерей веса.
- Гипотермия – снижение температуры тела ниже 35°C.
- Гипонатриемия – задержка жидкости в организме, приводящая к резкому снижению количества натрия в крови до критической отметки — ниже 135 ммоль/л.
Основным диагностическим методом выявления острого диэнцефального синдрома является магнитно-резонансная томография. На снимках МРТ видны изменения:
- В сагиттальной плоскости. При ЗСОНМ происходит диффузное воспаление гипоталамуса.
- В аксиальной плоскости. При ЗСОНМ двусторонние глубокие поражения белого вещества таламуса.5
МРТ в аксиальной плоскости при ЗСОНМ демонстрирует двусторонние сливные глубокие поражения таламуса5
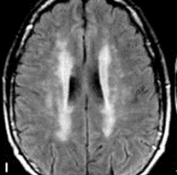
6. Церебральный синдром

Синдром сопровождается типичными для ЗСОНМ поражениями головного мозга на МРТ: в аксиальной плоскости наблюдается двустороннее глубокое поражение белого вещества, а в сагиттальной плоскости видны острые поражения в периэпендимальных отделах головного мозга.
Церебральный синдром в большинстве случаев ассоциируется с крупными, сливными подкорковыми очагами или с глубоким поражением белого вещества. Он может включать в себя следующие проявления:
- Гемипарез – снижение силы мышц в одной из половин тела. Состояние обусловлено поражением структур пирамидного пути.
- Потеря чувствительности одной половины тела.
- Энцефалопатия – невоспалительное поражение головного мозга, которое приводит к дистрофии нервной ткани с нарушением церебральных функций.
- Односторонняя гемианопсия
- Корковая слепота.
МРТ в аксиальной плоскости при ЗСОНМ показывает двустороннее сливное глубокое поражение белого вещества5
Даже в условиях современного уровня развития диагностики и терапии ЗСОНМ, это заболевания часто приводит к инвалидизации и снижению качества жизни пациентов. При этом общепринятого стандарта лечения нет.
Однако, несмотря на отсутствие гарантированно успешного лечения, врачи могут добиться длительной ремиссии и повысить пятилетнюю выживаемость до 91%. Это возможно только при своевременной постановке корректного диагноза и адекватной патогенетической терапии.5
Список литературы:
- Wingerchuk DM, et al. Neurology 2015;85:177–189
- Levin MH, et al. Prog Retin Eye Res 2013;36:159-171
- Jarius S et al. J Neuroinflammation 2016;13:280
- Mutch K, et al. Mult Scler Relat Disord 2015;4:614-618
- Bennet JL. J Neuroophthalmol 2016;36:238-245
